In today’s case study, we delve into the journey of Boris, a six-month-old intact male kitten who suffered a traumatic brain injury (TBI) after being kicked by a goat. His case was further complicated by hypernatremia and hyperglycemia, presenting a unique challenge for his emergency care team.
Case Presentation
Boris was brought to the emergency service four hours after the traumatic event. Initially, he was able to run but was later found immobile. His primary veterinarian noted the following on initial examination:
-
- Open-mouth breathing
-
- Moderate nasal bleeding
-
- Ambulatory tetraparesis
-
- Midriasis in the right eye with sluggish pupillary response
-
- Mandibular instability and dental fractures
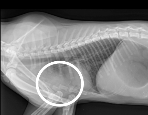
Radiographs at the primary clinic revealed an unstructured interstitial lung pattern in the cranial ventral lung lobes and sternal subluxation, suggesting concurrent thoracic trauma. Boris was then referred to a specialty facility for further management.
Figure 1. Unstructured interstitial pattern in the cranial lung fields suggestive of pulmonary contusions as well as sternal subluxation. The image was obtained by a primary veterinarian prior to the referral.
Upon arrival at the emergency service at 11 AM, Boris exhibited:
-
- Tetraparesis with abnormal mentation
-
- Increased respiratory effort
-
- Hyperthermia (105°F/40.5°C)
-
- Normal cardiovascular parameters
-
- Apparent blindness
Initial blood work showed relatively normal acid-base status, moderate hyperglycemia (313 mg/dL or 17 mmol/L), high-normal BUN and creatinine, and normal PCV/TS.
Clinical Course and Management
Shortly after admission, Boris’ neurologic status deteriorated, becoming non-ambulatory tetraparetic. Initial interventions included:
-
- Hypertonic saline (7.2% NaCl, 3 mL/kg, repeated once)
-
- Oxygen therapy in an oxygen cage due to respiratory distress and chest trauma
-
- Fentanyl CRI for pain control
-
- Maintenance fluids with Lactated Ringer’s Solution (LRS)
Six hours post-admission, Boris’ sodium concentration increased markedly from 153 to 186 mmol/L. This significant hypernatremia necessitated immediate intervention.
Understanding Hypernatremia in Boris
Serum sodium concentration is determined by the ratio of sodium to water in extracellular fluid. The main differentials for hypernatremia in Boris included the following:
-
- Hypertonic saline administration: Although Boris received hypertonic saline, the dose was typical and unlikely to solely explain the degree of hypernatremia observed.
- Free water loss via osmotic diuresis: Hyperglycemia administration likely contributed to excessive urination and subsequent free water loss.
- Impaired water intake due to neurologic status: His mentation changes reduced his ability to voluntarily drink water, exacerbating his condition.
- Post-traumatic central diabetes insipidus (CDI): TBI can disrupt vasopressin secretion from the hypothalamus, leading to excessive free water loss and hypernatremia.
Post-Traumatic Central Diabetes Insipidus
CDI results from impaired vasopressin production and/or secretion in the hypothalamus and pituitary gland. Major diagnostic criteria include:
-
- Persistent polyuria (>2 hours)
-
- Hypernatremia with increased serum osmolarity
-
- Low urine osmolarity due to absent ADH action
-
- Positive response to desmopressin (DDAVP) administration
However, in TBI patients, hypertonic saline and mannitol can complicate CDI diagnosis. Since Boris’ hypernatremia resolved within 36-48 hours without DDAVP, we can only speculate whether transient CDI contributed.
Figure 2. The lack of ADH secretion secondary to TBI may lead to profound polyuria leading to free water loss and hypernatremia.
Hyperglycemia and Traumatic Brain Injury
Boris exhibited persistent hyperglycemia in the first 5 days of his hospitalization (300-500 mg/dL, 17-27 mmol/L), which complicated hypernatremia management.
There are several possible explanations for high glucose levels after TBI and the most studied causes include the following:
-
- Stress-induced hyperglycemia caused by upregulation of sympathetic tone after TBI.
- The activation of the hypothalamic-pituitary-adrenal axis and the sympathetic autonomic nervous system.
- Elevated blood levels of numerous counter regulatory hormones such as catecholamines, cortisol, glucagon, and growth hormone, which enhance glycogenolysis and hypermetabolism and lead to excessive glucose production and insulin resistance.
- On top of that, TBI is accompanied by systemic inflammatory response syndrome that may worsen hyperglycemia.
Therefore, a combination of elevated sympathetic tone and inflammatory response seem to be the major causes of hyperglycemia in patients with traumatic brain injury.
Glycemic Control in TBI Patients
In human medicine, initial tight glycemic control (80-120 mg/dL) was later found to increase the risk of brain energy crises and mortality (Oddo et al. 2008). Current recommendations suggest a more moderate approach, targeting 150-300 mg/dL (8-16 mmol/L), which aligns with Boris’ eventual management.
Outcome and Recovery
-
- Boris’ hypernatremia was corrected with nasogastric tube-administered free water and 5% dextrose infusion.
-
- Hyperglycemia was managed with regular insulin CRI, later transitioned to intermittent subcutaneous injections.
-
- By Day 3, his neurologic status improved, though intermittent hyperglycemia persisted.
-
- On Day 6, Boris underwent anesthesia for esophagostomy tube placement, dental extractions, and mandibular fracture repair.
-
- By Day 7, he began drinking independently and was discharged, ambulatory and stable.
Key Takeaways
-
- Use hypertonic saline in TBI patients with caution: Frequent administration increases the risk of hypernatremia, particularly in patients unable to drink.
- Consider frequent sodium and glucose monitoring in TBI patients
- Hypernatremia and hyperglycemia can exacerbate TBI pathology. Regular monitoring allows for timely intervention and prevention of complications.
- Be aware of post-traumatic endocrine dysfunction: The hypothalamic-pituitary axis is vulnerable to injury, impacting sodium and glucose regulation.
- Anecdotally, kittens and puppies can exhibit remarkable recovery potential post-TBI. Early, aggressive intervention can lead to successful outcomes even in severe cases.
Boris’ case highlights the importance of rapid assessment, targeted interventions, and continuous monitoring in managing traumatic brain injury in a cat. His recovery serves as a testament to the resilience of young animals and the impact of critical care strategies in veterinary medicine.
For more cases and discussions on veterinary emergency and critical care, explore the VetEmCrit Academy and check out our free educational resources!
WATCH YOUTUBE VIDEO:
References
Author: Igor Yankin
Igor is the founder of VetEmCrit.com and a board-certified specialist in veterinary emergency and critical care. View all posts by Igor Yankin
